Vous êtes enceinte et vous vous demandez si vous pouvez effectuer des soins dentaires ? Nos réponses à vos questions.
Blog - Page 2
Les micro-réveils nocturnes peuvent être le signe d'une apnée du sommeil avec obstruction respiratoire. Si vous êtes concerné, consultez rapidement pour retrouver un sommeil serein !
Petites lésions apparaissant sur la langue ou la gencive, les aphtes sont généralement sans gravité. Quelle est leur origine et comment soulager la gêne et la douleur ?
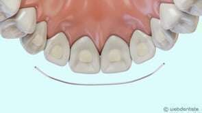
Lorsqu'il y a manque de place ou excès d'espace dans la bouche, les dents risquent de se développer dans de mauvaises positions.
Vous-même ou votre enfant, vous venez de vous casser une dent ou de subir un choc sur vos dents ? Il est recommandé d’agir rapidement.
La réduction de la sécrétion salivaire se traduit par des sensations de picotements, de soif, une difficulté à mastiquer et à avaler.
Les vitamines sont essentielles à notre santé buccale, en complément des minéraux tels que le calcium, le fluor, le phosphore.
La gamme de dentifrices proposée en pharmacie et en supermarché est très vaste. Voici quelques conseils pour vous y retrouver.
Douleurs au chaud, au froid, ou au brossage : comment soulager l’hypersensibilité dentaire ?
Antiseptique, anti-infectieux ou en prévention des caries, comment choisir votre bain de bouche ?
Familiariser votre enfant avec le cabinet dès son plus jeune âge permet de le sensibiliser à sa santé dentaire et d’établir une relation de confiance.












